Frankie’s Friends’ Vet Care for Rescues Grant Program helped Goldie receive an urgent surgery for a painful fracture.

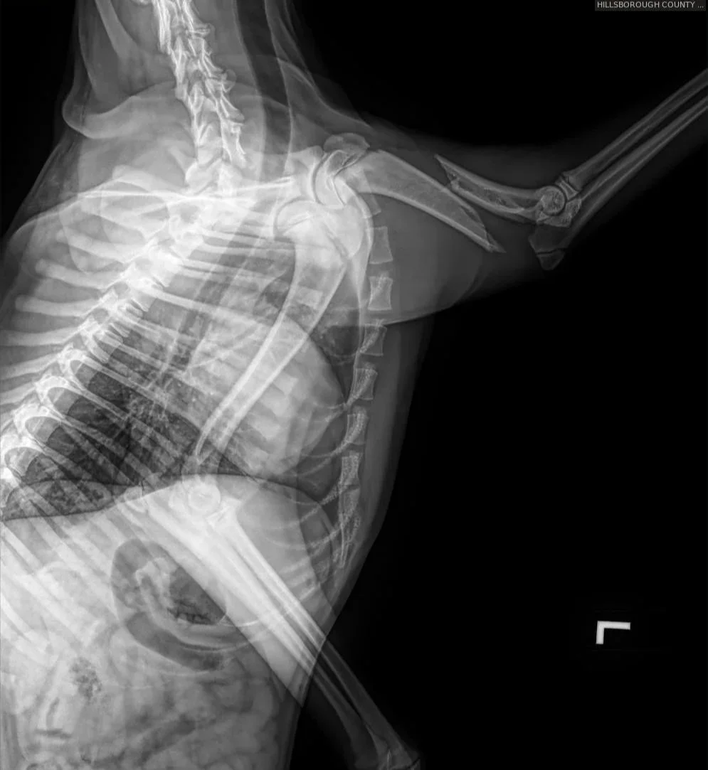
Goldie is a young and sweet girl who deserves a chance at fixing her leg and getting adopted into a forever home. We greatly appreciate any and all help. She was found after being hit by a car and was lucky to be discovered by kind people who rushed her in for care. The shelter team did an incredible job stabilizing her and keeping her comfortable, but she needed more specialized treatment.

UPDATE: Goldie was able to get the surgery she desperately needed for her injured leg. Goldie did amazing in surgery and is recovering like a champ. 💛 She came into the shelter after reportedly being hit by a car, but after multiple vets — including her orthopedic surgeon — looked her over, they all agreed her injury was probably older than that. Her body had already started forming muscle contracture trying to deal with a complete humerus fracture. This poor girl has definitely been hurting for a bit.

She is doing amazing and is already starting to put weight on it — which makes our hearts so happy. 🐾It truly takes a village — and Goldie is living proof of that. Thank you all for being part of her journey. 💕🐶
— Animalluvr's Dream Rescue

Comment